診察時間:午前 (9:00~12:30)  午後 (2:00~6:00)
定休日:日曜、祝祭日

診療予約・お問合せ
電話:027-328-0111

矯正歯科

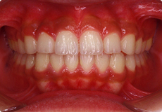
よい歯並びの例
矯正治療では、このような咬み合わせを獲得することが目標の一つとなります。

お口の中には、親知らずを除くと上下で28本の歯がはえます。

隙間や凸凹などもなく、アーチ状にきれいに並んでいます。
上下の真ん中が一致しています。
よい咬み合わせでは、前歯は上の歯が下の歯より2mmくらい前へ出て、同じく2mmくらい重なります。奥歯は、歯の山と谷が歯車のようにしっかり咬み合います。

矯正歯科とは

歯並びが良くないと、見た目の問題だけでなく虫歯、歯周病の原因になる可能性もでてきます。
また、小児の不正咬合は顔の骨格、筋肉などの成長発育に影響を及ぼすことがあります。
咬み合わせが悪いと一部の歯に大きな負担がかかり、すりへってしまったり、あごの関節に障害がでる原因になるといわれています。

そんな症状を予防するために、矯正治療は必要なのです。

近年、矯正治療は大きく進歩しています。
新たな装置や治療技術により、痛い、治療期間が長い、見た目が気になるなどといったマイナスのイメージが軽減されてきています。
これらの最新の技術を取り入れ、さらにきめ細やかな治療を行うことでより快適に治療を受けていただけるよう取り組んでいます。

当クリニックでは、装置の装着から毎回の調整まで歯の動きに関わることは全て矯正専門の歯科医師が行います。
ちょっとした装置の位置、力のかけ具合で治療期間は大きく変わってきます。
治療法や装置も患者様のライフスタイルを考慮し選択します。

ご希望にも可能な限りお応えしたいと考えておりますので、ご相談ください。

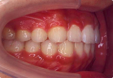
よくない歯並び・治療症例

叢生(そうせい)

八重歯など歯が凸凹にはえている状態。

顎の大きさに対し歯が大きかったり、虫歯などで乳歯が早く抜けてしまったりすることなどが原因です。

上顎前突(じょうがくぜんとつ):出っ歯

上の顎が出ていたり、下の顎が小さかったりすると咬み合わせがずれてしまいます。

上の前歯が出ているために口元、横顔ともに見た目が悪くなってしまいます。

下顎前突(かがくぜんとつ):反対咬合、受け口

下の前歯が、上の歯より前に出てしまっているもの。

下唇が突出するので見た目が悪く、前歯が正しく咬み合わないため発音が悪くなります。

開咬(かいこう)

奥歯は咬み合っているのに前歯は咬み合わない状態。指しゃぶりなどの悪い癖が原因となります。
咬み合う歯が少ないので奥歯に負担がかかり、顎関節の負担も大きくなります。
空気が抜けてしまうため、発音が特に悪くなります。

過蓋咬合(かがいこうごう)

咬んだ時に下の前歯が上の歯に隠れて見えないような深い咬み合わせ。

顎の動きが制限されてしまうので、顎関節に負担がかかります。上の歯肉を傷つけてしまうこともあります。